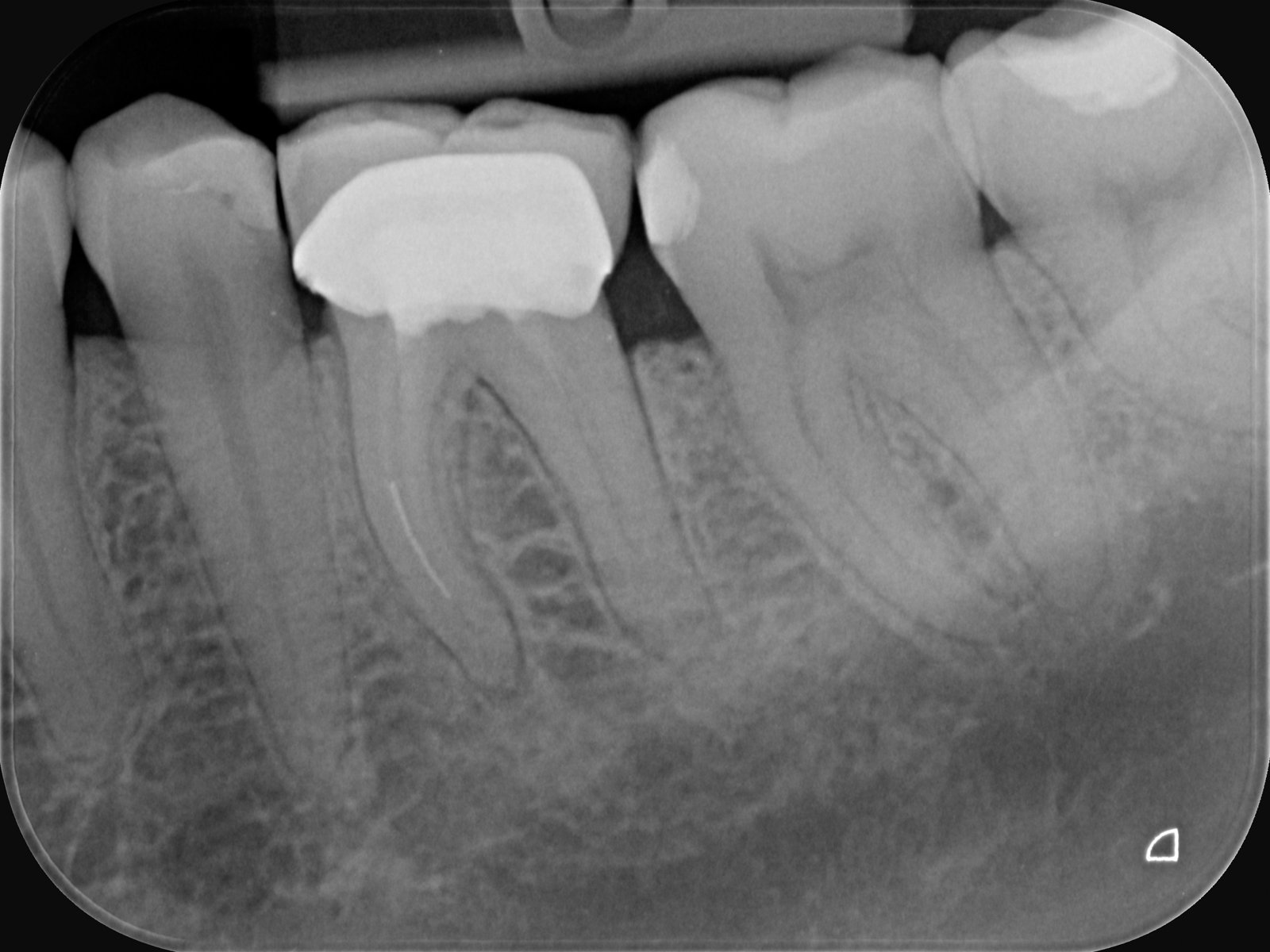
At Ashtead Dental, we are experienced in managing complex root canal cases, including the safe handling of a broken file during treatment. A broken file is a rare but recognised complication that can occur when a small instrument used to clean the root canal separates and becomes lodged inside the canal.
While a broken file does not usually cause pain or immediate harm to the tooth, it can interfere with thorough cleaning and disinfection, which are critical to the long-term success of root canal therapy. Our team is fully equipped with advanced tools and techniques to assess and manage this situation with precision and care.
What causes a file to break?
A root canal file may break for several reasons, including:
- Excessive pressure or torque during instrumentation
- Fatigue of the file due to repeated bending, especially in curved canals
- Limited access or challenging root anatomy
How we manage a broken file at Ashtead Dental
Treatment options depend on the location of the file, the extent of the blockage, and the condition of the tooth:
Bypassing the fragment
If the broken file is small and located in an accessible area, we may be able to bypass it and complete the treatment successfully.
Fragment removal
In cases where the file interferes with cleaning or filling, we may use advanced techniques such as ultrasonics, micro-instruments, or retrieval systems under magnification to remove the fragment safely.
Observation
If the broken piece is located deep within the canal (often near the tip of the root) and the tooth is not showing signs of infection, it may be safer to leave it in place and monitor the tooth over time.
Surgical intervention
In some cases, a minor surgical procedure may be needed to access and remove the broken file, particularly if infection is present or conventional access is not possible.
Why choose Ashtead Dental for broken file management
Our clinicians are skilled in handling challenging endodontic cases and use high-powered magnification, digital imaging, and precision tools to plan and carry out the safest, most effective treatment. Each case is assessed individually to determine whether the file should be removed or monitored, always keeping your long-term tooth health in mind.
If you’ve been told you have a broken file in your tooth or are experiencing post-treatment symptoms, we’re here to help. We’ll provide a full evaluation and explain all options clearly.
Contact Ashtead Dental today to schedule a consultation. Call us or visit our website to learn more about expert root canal care and how we manage complex cases with confidence.








